最近灵宝可是吃瓜群众中的焦点人物呢!你知道为什么吗?因为她的喉咙疼得厉害,这可真是让人心疼啊!下面,就让我带你从多个角度来了解一下这个话题吧。

灵宝,一个热爱生活的年轻人,平时最大的爱好就是追剧、看综艺,尤其是那些热门的吃瓜节目。她总是能第一时间掌握娱乐圈的最新动态,和朋友们分享各种八卦。这次她却因为吃瓜过度,喉咙疼得无法忍受。

你知道吗,吃瓜过度不仅会让人心情愉悦,还可能引发喉咙疼痛。这是因为,长时间说话、笑声不断,加上吃瓜时用力过猛,都会对喉咙造成一定的刺激。灵宝就是因为在看吃瓜节目时,忍不住笑出声,导致喉咙受损。

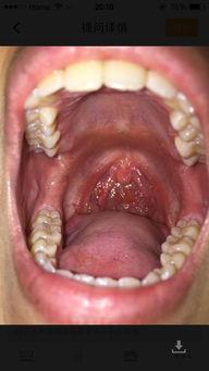
喉咙疼是一种非常痛苦的经历。灵宝告诉我们,那种感觉就像是有无数根针在喉咙里扎一样,让人难以忍受。她甚至无法正常说话,吃饭都成了问题。这种痛苦让她深刻体会到了健康的重要性。
为了避免像灵宝一样遭受喉咙疼的痛苦,我们可以从以下几个方面来预防:
1. 控制吃瓜时间:合理安排自己的娱乐时间,避免长时间沉迷于吃瓜节目。
2. 保持喉咙湿润:多喝水,保持喉咙湿润,减少喉咙干燥引起的疼痛。
3. 注意饮食:避免辛辣、刺激性食物,以免刺激喉咙。
4. 适当休息:保证充足的睡眠,让喉咙得到充分的休息。
幸运的是,灵宝在朋友的关心和照顾下,逐渐恢复了健康。她告诉我们,这次经历让她更加珍惜健康,也让她明白了适度娱乐的重要性。现在,她已经调整了自己的生活方式,不再过度追求吃瓜,而是更加注重身体健康。
通过这篇文章,我们不仅了解了灵宝的吃瓜喉咙疼事件,还学到了如何预防喉咙疼的方法。希望每个人都能从中吸取教训,珍惜自己的健康,过上快乐的生活。毕竟,身体是革命的本钱,只有身体健康,才能更好地享受生活。